お問い合わせ・電話予約089-958-8822

文字サイズ

SERVICE

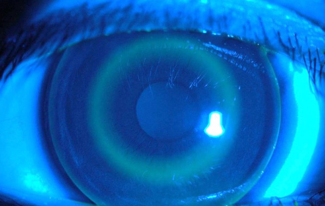
当院では一般眼科、アレルギー性結膜炎、ドライアイ、眼精疲労、白内障、緑内障検診、網膜硝子体疾患、
屈折矯正(SMILE pro、iLASIK、ICL、オルソケラトロジー、スクレラルレンズ、クロスリンキング)、糖尿病性網膜症、加齢性黄斑変性症、眼瞼内反症、眼瞼下垂、ボトックス療法、流涙症、近視矯正手術、各種コンタクトレンズ、メガネ処方などを取扱います。
また、以下の疾患診療に力を入れています。

TOP